PD Dr. Elke Maurer
Amelie Grainger
Dr. Franziska Zwecker
Dr. Jannik Ashauer
Dr. Bela Braag
Axel Lust
Dr. Nicolas Gumpert
Privatpraxis
für Orthopädie, Sportmedizin, ärztliche Osteopathie, Akupunktur und manuelle Medizin
direkt am Kaiserplatz
Kaiserstraße 14/Eingang Kirchnerstraße 2
60311 Frankfurt am Main

Liebe Leser,
liebe Patienten,
die Orthopäden von Lumedis beginnen langsam mal die verschiedenen Erkrankungen der Hand mit Bildern und Beschriftungen an dieser Stelle abzubilden.
Diese Bilder wurde durch Dr. Nicolas Gumpert veröffentlicht.
Dr. Nicolas Gumpert ist Facharzt für Orthopädie und regelmäßig als Gast im Hessischen Rundfunk eingeladen.
Daneben steht er vielen Printmedien wie Welt, Sportbild und DPA regelmäßig als Interviewpartner zur Verfügung.
Weiterhin betreibt er mit Dr-Gumpert.de ein Informationsportal für laienverständliche Medizin mit mehr als 100 Millionen Seitenabrufen pro Jahr.
Folgen Sie Dr. Gumpert auf Facebook oder Instagram.

MRT eines unverschobenen Handgelenksbruchs

Handgelenk gebrochen

Röntgenbild eines Wulstbruchs der Speiche

Röntgenbild eines Wulstbruchs der Speiche

Abrissfraktur des Processus styloideus ulnae (Griffelfortsatz)

Grünholzfraktur am Handgelenk beim Kind

Abbildung eines Grünholzbruchs
Sie suchen eine zweite Meinung oder sind mit dem Therapiefortschritt nicht ausreichend zufrieden?
Gerne schauen sich die konservativen Handspezialisten von Lumedis Ihren Fall an und beraten Sie umfänglich mit Ihrer ganzen Erfahrung!
Lumedis Privatpraxis
für Orthopädie, Sportmedizin, ärztliche Osteopathie, Akupunktur und manuelle Medizin
direkt am Kaiserplatz
Kaiserstraße 14/Eingang Kirchnerstraße 2
60311 Frankfurt am Main

Röntgenbild einer Hand a.p.

Röntgenbild einer Hand a.p.

Abbildung Muskeln des Daumens

Anatomie vom Daumensattelgelenk

Röntgen einer Rhizarthrose (Arthrose im Daumen) der rechten Hand
So sieht ein gebrochener Daumen im Röntgenbildaus:
Röntgenbild eines gebrochenen Ringfingers (Nagelkranzfraktur)

Röntgenbild eines gebrochenen Fingers von der Seite

Röntgenbild eines Bruchs des kleinen Fingers der rechten Hand, der mit zwei Kirschner-Drähten fixiert wurde.


Schematische Abbildung einer linken Hand:
Orange: Endglied
Blau: Mittelglied
Grün: Grundglied
Gelb: 1.-5. Strahl
Lila: Handwurzel

Anatomie der Hand

Darstellung eines Karpaltunnelsyndroms

Querschnitt durch ein Karpaltunnelsyndrom (CTS)

Kompression des N. medianus bei einem Karpaltunnelsyndrom (CTS)
(Cooles Bild - jeder weiß, irgendwas stimmt an dem Bild nicht….nur was -Lösungen gerne an info@lumedis.de)

Areal der Taubheit bei einem Karpaltunnelsyndrom (CTS)

Phalen-Test bei einem Karpaltunnelsyndrom

Weitere Informationen finden Sie unter unserem Artikel Schmerzen zwischen dem Zeigefinger und Daumen.


Bild eines geschwollenen Handrückens.
Man kann an der rechten Hand die fehlende Venenzeichnung und angedeutete Glanzhaut als Schwellungszeichen erkennen.



Farbliche Anatomie der Handwurzel

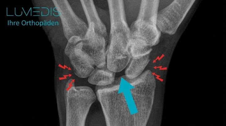
MRT einer Verletzung der Handwurzel (scapholunäre Dissoziation)

Röntgen einer SLD (scapholunären Dissoziation) linkes Handgelenk

Röntgenbild einer scapholunäre Dissoziation (SLD)
Der türkise Pfeil zeigt auf die zu weit auseinander stehenden Handwurzelknochen von Kahnbein und Mondbein.

Links sehen Sie eine schematische Abbildung einer linken Hand:
Orange: Endglied
Blau: Mittelglied
Grün: Grundglied
Gelb: 1.-5. Strahl
Lila: Handwurzel


In den Bildern unten sehen Sie eine MRT und Röntgenbild des gleichen Patienten mit einer Fraktur des Mondbeins.
Das Röntgenbild sieht auf den ersten Blick unauffällig auf.
MRT Bild darunter erkennt man den kräftigen bone bruise im Bereich des Mondbeins als Hinweis auf eine unverschobene Fraktur im Os lunatum.


Entzündung der Fingerkuppe des Mittelfingers der linken Hand (türkiser Pfeil)

Abbildung eines Schnappfingers:
Man kann gut die Verdickung der Sehne (rot) erkennen.
Bei Beugung und Streckung klemmt der Knoten am Ringband und löst das typische Schnappen aus.

Röntgenbild einer Knochenabsplitterung am kleinen Finger

MRT eines Handgelenk mit Handwurzel mit Bandverletzung

Bild eines geschwollenen Fingers durch einen Insektenstich. Blau eingekreist erkennt man den Stich des Insekts.

Kapselriss eines Fingers - man erkennt gut die Einblutung (Hämatom) in die Kapsel des Miitelgelenks des Ringfingers.

Kapselriss des rechten Mittelfingers im Mittelgelenk nach einer Basketballverletzung.

Kapselriss des Daumens - Man kann gut die Einblutung in den gesamten Daumenballen erkennen.








Durch eine Fingerquetschung sind die Nägel des 3., 4. und 5 Nagels mit Blut unterlaufen (Finger in Autotür eingeklemmt).

Quetschung des Fingerendglieds und Bluterguß unter dem Nagel (Nagel blau)


Typisches Bild eines gequetschten Fingers mit blauem Nagel.
Das Blut unter dem Nagel wurde durch eine professionelle Trepanation (man kann die zwei Löcher im Nagel gut erkennen) entlastet.

Gequetschter Zeigefinger, der blau und geschwollen ist.

Hämatom unter Nagel



Entzündung im Mittelfinger

Abbildung eines Morbus Dupuytren im Stadium 1

Abbildung eines Morbus Dupuytren im Stadium 2

Abbildung eines Morbus Dupuytren im Stadium 3

Abbildung eines Morbus Dupuytren der linken Hand

Morbus Dupuytren des Ringfingers

CT eines Morbus Preisers

MRT der Handwurzel mit einem beginnenden Morbus Preiser

MRT einer Nekrose vom Kahnbein (Morbus Preiser)

MRT einer Lunatummalazie im fortgeschrittenem Stadium

MRT einer Lunatummalazie links

Abriss der Strecksehen am Fingerendglied vom Mittelfinger
Typisch für den Abriss der Strecksehen am Fingerendglied ist der Knubbel auf der Endgliedgelenk und die unfähigkeit den Finger aktiv voll zu Strecken (siehe türkise Linie).

Strecksehnenriss vom linken Mittelfinger

Typische Versorgung einer gerissenen Strecksehne mit einer Schiene.
Alternativ kann auch eine Stack´sche Schiene verwendet werden.

Stack Schiene für Sehnenriss im Finger

Abbildung einer Knopflochdeformität
Der türkise Pfeil zeigt wo die Sehnenplatte gerissen ist.

Schwanenhals- und Knopflochdeformität

Abbildung einer Tendovaginitis de Quervain (Sehnenscheidenentzündung des 1. Strecksehenfachs)

Abbildung des Finkelstein-Tests, der bei einer Tendovaginitis de Quervain stark positiv ist.

Sehnenscheidenentzündung des Handgelenks und der Finger
MRT einer Sehnenscheidenentzündung der Beugesehnen am Handgelenk

Raynauld-Syndrom der Finger

Infrarot-Thermographie eines Raynaud Syndrom

Raynaud-Syndrom der Hand

Morbus Raynaud der rechten Hand







Verlauf des Nervus radialis von der HWS bis zur Hand

Verlauf des N. medianus und ulnaris im Arm bis in die Hand

Typische Mukoidzyste am Daumen

Mukoidzyste am Mittelfinger

Mukoidzyste am Ringfinger

Infizierte Zyste am Finger


Röntgenbild eines ausgekugelten Ringfingers

Bild eines ausgekugelten Ringfingers

Bild eines luxierten Ringfingers

Schmerzen am kleinfingerseitigen Handgelenk

Anatomie vom Handballen

Schmerzen im Handballen

Ursachen für Schmerzen im Handballen
Schmerzen Handballen
I - Kleinfingerballen - Hypothenar (grün)
innerer Handballen
II - Daumenballen - Thenar (blau)
äußerer Handballen

Pigmentierte villonoduläre Synovialitis (PVNS) am Finger
Eine PVNS ist von einer Mukoidzyste am Finger nur schwierig zu unterscheiden.
Das Ultraschallbild zeigt allerdings einen deutlichen Unterschied.
Wir freuen uns, wenn Sie uns mit Bildmaterial unterstützen würden, was wir anonym auf Lumedis veröffentlichen dürfen.
Bitte räumen Sie uns in der Mail ein Nutzungsrecht ein, das Sie jederzeit wieder zurückziehen können.
Von Röntgenbildern / MRT´s / CT´s - wenn möglich die Originalbilder in großer Auflösung (bitte keine Bildschirmfotografien) schicken.
Damit helfen Sie anderen Ihre Erkrankung besser zu verstehen und einzuschätzen.
Bild bitte an info@lumedis.de.
Danke und viele Grüße
Ihr
Nicolas Gumpert
Wir beraten Sie gerne in unserer Handsprechstunde!